Annotation Overlays¶
The CT Viewer has multiple different overlays over the loaded images, indicating useful information about the study, the image and slicer orientation, as well as the HU pixel values and the cursor position.
Study and Patient Information¶
By default, VisioVIEW displays the related study and patient information for the image in the top left and right corners of the Axial viewport of all active images in the CT Viewer.
Detailed information about these annotations and how to customize them can be found in the following section in the regular VisioVIEW Viewer.
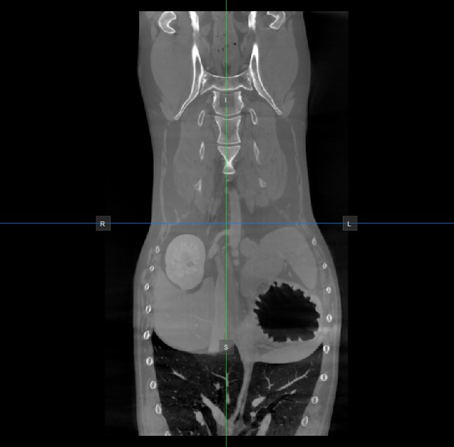
Cursor and Cross Center Position¶
When working with CT modality volumetric DICOM data, the HU (Hounsfield Unit) values of each pixel in the 3D body is of great importance. Hounsfield Unit is a quantitative scale used to measure the radiodensity of each tissue.
Move the mouse cursor over the images in each of the three available planes to read out the HU value in that specific cursor position. If the cursor is not within the bounds of the image, the cross center position of the intersection between the two slicers and its HU value is shown.
Image Orientation and Image Planes¶
The position and intersection of the other two image planes not represented in the active viewport is indicated by two vertical and horizontal lines called slicers. The endpoints of each slicer are labeled with a letter that corresponds to the appropriate direction/side of the 3D volume, based on the RAS coordinate system.
Only four sides of the available six are indicated on each 2D viewport. The labels and the corresponding side are the following:
Patient Right (R), indicating the right side of the body
Patient Left (L), indicating the left side of the body
Anterior (A), indicating the front side of the body
Posterior (P), indicating the back side of the body
Superior (S), indicating the top side of the body
Inferior (I), indicating the bottom side of the body




