TPA Angle/TPLO

../../_images/image44.jpg

The TPA Angle (Tibial Plateau Angle) is one of the most important orthopedic measurements in veterinary medicine, measuring the slope of the tibial plateau relative to the long axis of the tibia. Select the TPA Angle measurement from the Advanced Measurement menu and assign the left mouse button to it.

The TPA Angle measurement is a crucial part of planning corrective surgeries, like TPLO (Tibial Plateau Leveling Osteotomy). Extend the TPA Angle measurement with TPLO in the simple viewer settings.

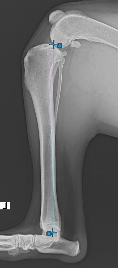
Start the measurement by marking the Eminentia Intercondylaris, which is located on the joint connecting the femur and the tibia.

The image below depicts the usual placement of the Eminentia Intercondylaris point.

../../_images/image224.jpg

Continue by marking the midpoint of the Cochlea, located at the end of the tibial bone. The line created between the Eminentia Intercondylaris and the midpoint of the Cochlea represents the long axis of the tibia.

The image below depicts the usual placement of the midpoint of the Cochlea.

../../_images/image233.jpg

Once the long axis of the tibia has been identified, mark the most cranial point of the tibial head (tibial plateau).

The image below depicts the usual placement of the most cranial point on the tibial plateau.

../../_images/image269.jpg

Complete the TPA Angle measurement by marking the most caudal point of the tibial head (tibial plateau). The TPA Angle is automatically calculated as the angle between the line connecting the two points on the tibial plateau and the perpendicular line to the long axis of the tibia.

The image below depicts the usual placement of the most caudal point on the tibial plateau and the automatically calculated TPA Angle measurement.

../../_images/image270.jpg

When the TPLO extension to the TPA Angle measurement is enabled, choose one of the available options from the advanced measurement mode toolbar to continue/complete the measurement. The TPA Angle measurement is automatically completed otherwise.

  • Press Finish to confirm and complete the TPA Angle measurement without the TPLO extension.

  • Activate the TPLO extension by using the Extend TPA with TPLO button.

  • Hide/Show the TPA Angle measurement during the TPLO extension by toggling the Hide TPA measurement checkbox.

../../_images/image23.jpg

Start the TPLO extension by marking the tibial crest. The sawblade size for the TPLO extension is automatically calculated as the distance between the Eminentia Intercondylaris and the point located two thirds along the line connecting the most caudal point of the tibial head and the tibial crest.

The image below depicts the usual placement of the tibial crest point on the tibial head.

../../_images/image245.jpg

Before completing the TPLO extension, users can modify the parameters of the measurement required to calculate the rotation distance for the procedure in the advanced measurement mode toolbar.

  • Fix the TPA Angle calculation by toggling the Fix checkbox. Any modification to the TPA Angle will otherwise be reflected in the rotation distance calculation.

  • Enter the desired TPA Angle of the TPLO procedure in the Desired TPA (°) input field.

  • To recalculate the sawblade size, enter the desired value in the Sawblade Size input field.

../../_images/image212.jpg

Press Calculate rotation distance to perform the required calculations for the TPLO procedure. The calculated rotation distance will be shown in the advanced measurement mode toolbar.

../../_images/image209.jpg
../../_images/image377.jpg

The TPA Angle measurement with the TPLO extension will be active until the user presses the Finish button in the right corner of the advanced measurement mode toolbar.

Modify the position of the points to recalculate the TPA Angle measurement. To recalculate the rotation distance for the TPLO procedure, double-click on the surface of the entire measurement and open the advanced measurement mode toolbar to modify the required parameters.