Mérőeszközök¶
A VisioVIEW Megjelenítő széles körű mérőeszköz-készletet kínál a felhasználók számára, hogy segítsen a betegek klinikai diagnózisában. A mérőeszközök a Megjelenítő bal oldali függőleges eszköztárában találhatók. Két részre vannak osztva: egyszerű és komplex mérőeszközökre.
A következő rész a Megjelenítő egyszerű mérőeszközeire összpontosít. Az elérhető egyszerű mérőeszközök listájához nyomja meg az Egyszerű mérőeszközök gombot. A rész összecsukásához nyomja meg újra a gombot.
Az egyszerű és komplex mérőeszközökre vonatkozó utasítások a VisioVIEW Megjelenítő alsó információs sávjában jelennek meg. Az utasítások segítik a felhasználókat a mérések helyes kivitelezésében.
Az összes egyszerű mérőeszköz hozzárendelhető különböző egérgombokhoz, így lehetőség van több eszköz egyszerre történő kiválasztására.
Elem kiválasztása/mozgatása eszköz¶
Az egyszerű mérések több pontból állnak. Válassza ki a meglévő mérések pontjait a Megjelenítő felületén, hogy mozgassa és módosítsa azokat. A mérési értékek és eredmények a módosítás során automatikusan újraszámolódnak.
Néhány mérőeszköz mérési érték- és eredménycímkéjének elhelyezkedése módosítható a kívánt helyre történő áthelyezéssel az Elem kiválasztása/mozgatása eszközzel a jobb olvashatóság érdekében.
Pont létrehozása¶
Pont létrehozása eszközzel. Minden pont egy jelölő betűt kap a jobb azonosíthatóság érdekében.Elem kiválasztása/mozgatása eszközzel. Válassza ki a pontot az eszközhöz rendelt egérgomb segítségével, majd mozgassa szabadon a kép bármely részére.
Hossz kalibrálása¶
A távolságok és a mérési eredmények automatikusan kalibrálódnak a DICOM kép pixeltávolság-információi alapján. A távolságok újrakalibrálásához vagy a kalibrációs adatok megadásához, ha azok hiányoznak a DICOM fájlból, használja a Hossz kalibrálása eszközt.
Válassza ki a
Hossz kalibrálásaeszközt, és rendelje hozzá az egyik elérhető egérgombhoz.Vegyen fel egy ismert távolságot a képen a kezdő- és végpont elhelyezésével, vagy válassza ki azokat a már meglévő pontok közül a képen.
Adja meg a kalibrációs vonal távolságát milliméterben, majd nyomja meg az
OKgombot a kép újrakalibrálásához.
Információ
Képenként csak egy Hossz kalibrálása mérés engedélyezett. A kép újrakalibrálásához vagy oldja fel a kalibrációs vonalat és módosítsa, vagy törölje a jelenetből, majd rajzolja meg újra.
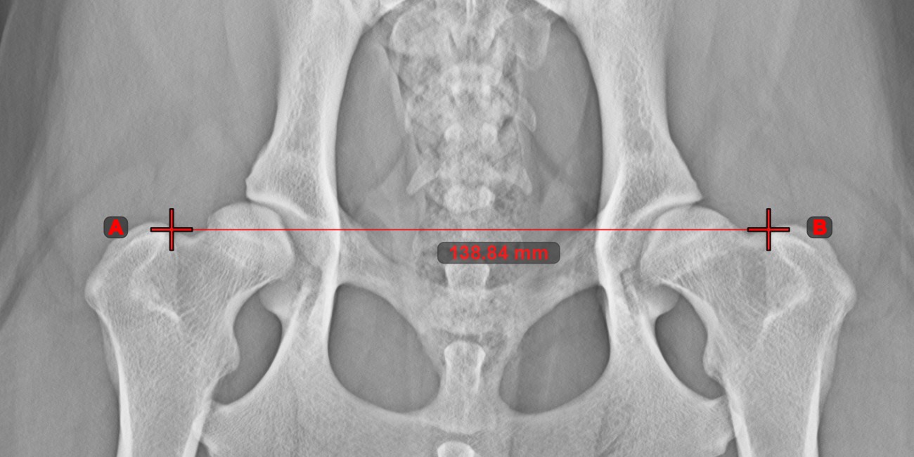
Vonal létrehozása¶
Válassza ki a Vonal létrehozása eszközt, és rendelje hozzá az egyik elérhető egérgombhoz. Helyezze el a kezdő- és végpontot a jelenetben, vagy válassza ki őket a már meglévő pontok közül a képen. A két pont közötti távolság automatikusan kiszámításra kerül az alapértelmezett kalibrációs adatok, vagy a hosszkalibráció mérés által újrakalibrált adatok alapján.
Módosítsa a kezdő- és végpontot az Elem kiválasztása/mozgatása eszközzel. A két pont közötti távolság automatikusan újraszámításra kerül.
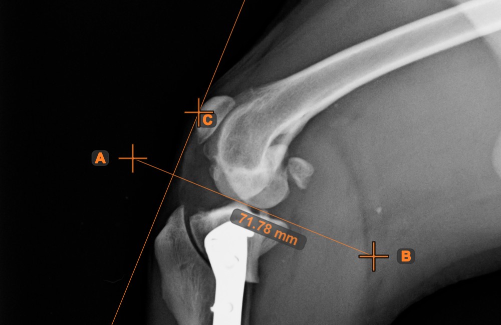
Vonal középpontja¶
Azonosítsa és jelölje meg egy új vagy meglévő vonalmérés középpontját a jelenetben a Vonal középpontja eszközzel.
Válassza ki az eszközt a bal oldali eszköztárból, és rendelje hozzá az egyik elérhető egérgombhoz. Helyezze el a kezdő- és végpontot a jelenetben, válassza ki őket a már meglévő pontok közül a képen, vagy válasszon ki egy már meglévő vonalat a jelenetből. A vonal középpontja automatikusan kiszámításra kerül és elhelyezésre kerül a jelenetben. A vonal középpontját mindig a C betű jelzi.
Vonalak metszéspontja¶
Gyorsan és pontosan találja meg és jelölje két meglévő vonal közti metszéspontot a Vonalak metszéspontja eszközzel.
Válassza ki az eszközt a bal oldali eszköztárból, és rendelje hozzá az egyik elérhető egérgombhoz. Válasszon ki két, a jelenetben már meglévő vonalat a mérés elvégzéséhez. A vonalak metszéspontja automatikusan kiszámításra kerül és jelölésre kerül a jelenetben. Két vonal metszéspontját mindig az X betű jelzi.
Információ
Ha két vonal közvetlenül nem metszi egymást, a jeleneten azok meghosszabbított vetületeinek metszéspontja lesz jelölve.
Vonalak szöge¶
Válassza ki az eszközt a bal oldali eszköztárból, és rendelje hozzá az egyik elérhető egérgombhoz. A jelenetben már meglévő vonalak közül kezdje az első vonal kiválasztásával , vagy helyezze el a kezdő- és végpontot a vonal létrehozásához. Ismételje meg ugyanezeket a lépéseket a mérés második vonalánál. A két vonal közötti szög automatikusan kiszámításra kerül.
Módosítsa mindkét vonal kezdő- és végpontját az Elem kiválasztása/mozgatása eszközzel. A két vonal közötti szöget automatikusan újrakalkulálja a rendszer.
Információ
Ha két vonal közvetlenül nem metszi egymást a jeleneten, azok meghosszabbított vetületeinek szöge kerül kiszámításra.
Fix szög¶
A Fix szög eszközzel vonalak közötti szöget hozhat létre, rögzített ívvel. Később csak a szög elhelyezkedése módosítható a jeleneten.
Válassza ki a
Fix szögeszközt a bal oldali eszköztárból, és rendelje hozzá az egyik elérhető egérgombhoz.Válasszon ki egy vonalat a jelenetben a már meglévő vonalak közül, vagy jelölje meg a szög kezdeti oldalának kezdőpontját.
Adja meg a kívánt szöget fokban, majd nyomja meg az
OKgombot a folytatáshoz.![]()
Jelölje meg a szög kezdeti oldalának végpontját a mérés befejezéséhez. Ha a felhasználó a második lépésben vonalat választott, a mérés automatikusan befejeződik. A szög végoldala a kezdeti oldal irányának és a megadott szögfoknak megfelelően kerül megrajzolásra.
![]()
Szög 3 pontból¶
A Szög 3 pontból eszköz egyszerű és hatékony módja annak, hogy egy szöget mindössze három pont alapján számítson ki.
Kezdje az eszköz kiválasztásával a bal oldali eszköztárból, és rendelje hozzá az egyik elérhető egérgombhoz. Helyezze el a szög kezdeti oldalának kezdőpontját, a csúcsot és a szög végoldalának végpontját, vagy válassza ki a pontokat a jelenetből. A szög oldalai automatikusan létrejönnek, így a vonalak közötti szög kiszámításra kerül.
Módosítsa a három pont helyzetét a szög ívének megváltoztatásához az Elem kiválasztása/mozgatása eszközzel.
Párhuzamos vonal¶
Hozzon létre új párhuzamos vonalakat a jelenetben lévő meglévő vonalhoz a Párhuzamos vonal eszközzel.
Válassza ki az eszközt a bal oldali eszköztárból, és rendelje hozzá az egyik elérhető egérgombhoz.
Válassza ki az alapvonalat az új párhuzamos vonalhoz a jelenetben lévő meglévő vonalak közül.
Jelölje meg azt a pontot a jeleneten, amelyen keresztül a párhuzamos vonal fel lesz rajzolva.
![]()
Az alapvonal irányának módosítása automatikusan megváltoztatja a párhuzamos vonal irányát is. A párhuzamos vonal áthelyezéséhez válassza ki és mozgassa azt a pontot, amelyen a vonal keresztülhalad.
Merőleges vonal¶
Válassza ki az eszközt a bal oldali eszköztárból, és rendelje hozzá az egyik elérhető egérgombhoz.
Válassza ki az alapvonalat az új merőleges vonalhoz a jelenetben lévő meglévő vonalak közül.
Jelölje meg a pontot a jeleneten, amelyen keresztül a merőleges vonal fel lesz rajzolva.
![]()
Az alapvonal irányának módosítása automatikusan megváltoztatja a merőleges vonal irányát is. A merőleges vonal áthelyezéséhez válassza ki és mozgassa azt a pontot, amelyen a vonal keresztülhalad.
Kör 3 pontból¶
A Kör 3 pontból eszköz egyszerű és hatékony módja annak, hogy mindössze három pont alapján hozzon létre egy tökéletes kört.
Kezdje az eszköz kiválasztásával a bal oldali eszköztárból, és rendelje hozzá az egyik elérhető egérgombhoz. Helyezze el a kör három pontját, vagy válassza ki a pontokat a jelenetben már meglévők közül. A kör automatikusan létrejön a három pont elhelyezkedése alapján. A kör origója mindig O betűvel lesz jelölve. A kör sugara automatikusan kiszámításra kerül.
Módosítsa a három pont helyzetét a kör sugarának megváltoztatásához a Elem kiválasztása/mozgatása eszközzel.
Kör meghatározott sugárral¶
Rajzoljon kört rögzített sugárral a Kör meghatározott sugárral eszközzel. Később csak a kör pozíciója módosítható a jeleneten.
Válassza ki az eszközt a bal oldali eszköztárból, és rendelje hozzá az egyik elérhető egérgombhoz. Helyezze el az új kör origóját a jeleneten, vagy válasszon ki egy már meglévő pontot. Adja meg a kör kívánt sugarát, majd nyomja meg az OK gombot a mérés befejezéséhez.
Vonal és pont távolsága¶
Mérje meg a távolságot egy vonal és a jelenet egy adott pontja között a Vonal és pont távolsága eszközzel.
Válassza ki az eszközt a bal oldali eszköztárból, és rendelje hozzá az egyik elérhető egérgombhoz. Kezdje el a mérést a jelenetben már meglévő vonal kiválasztásával. A mérés befejezéséhez helyezze el a kívánt pontot a jeleneten, vagy válasszon ki egy már meglévő pontot. A vonal és a pont közötti távolság automatikusan kiszámításra kerül.
Módosítsa a mérést bármelyik pont áthelyezésével a Elem kiválasztása/mozgatása eszközzel.
Szöveg eszköz¶
Jelölje és kommentálja a fontos információkat a képen a Szöveg segítségével. A szöveg mindig egy ponthoz van rendelve, amelynek pozíciója később az Elem kiválasztása/mozgatása eszközzel módosítható.












