Megtekintési és képtranszformálási eszközök¶
A VisioVIEW Megjelenítő felső eszköztára tartalmazza az összes, a megtekintéshez és a képmódosításhoz kapcsolódó eszközt. Az eszközök négy alcsoportba vannak rendezve, mindegyik egy adott funkcionalitáscsoporthoz kapcsolódik.
Az első alcsoport azzal kapcsolatos, hogyan jelenik meg a kép (megtekintés) a Megjelenítő, míg a második alcsoport a képtranszformálásokkal kapcsolatos (inverz polaritás, elforgatás, nagyítás/kicsinyítés). Ezzel szemben a harmadik alcsoport a képen megjelenített mérésekkel kapcsolatos, míg a negyedik és egyben utolsó alcsoport a Megjelenítő Kifüggesztési Protokoll beállításaival kapcsolatos.
Kép mozgatása¶
A Kép mozgatása eszköz egy egyszerű eszköz, amely lehetővé teszi a felhasználók számára, hogy a nagyított vagy a Megjelenítő területénél nagyobb képeket elmozgassák vagy pásztázzák. A képek minden irányba mozgathatók. Ez az eszköz hozzárendelhető bármely adott egérgombhoz. Alapértelmezés szerint a középső egérgombhoz van rendelve.
Rendeljen egy egérgombot az eszközhöz a kívánt egérgombbal a megfelelő eszköztár gomb megnyomásával. Ezután tartsa lenyomva a kijelölt egérgombot a megjelenítő területen lévő képen, majd húzza az egeret a kívánt irányba a kép pásztázásához.
Ablakolás (Fényerő és Kontraszt)¶
A DICOM kép ablak szélességének és középértékének (fényerő és kontraszt) módosításához válassza az Ablakbolás eszközt a Megjelenítő eszköztárából. Az eszköztárban nyomja le és tartsa lenyomva a gombot a teljes ablakolás-beállítási menü megnyitásához. Ez az eszköz hozzárendelhető egy adott egérgombhoz. Alapértelmezés szerint a bal egérgomb van hozzárendelve ehhez az eszközhöz.
Alapértelmezett ablakolási eszköz¶
Az alapértelmezett ablakolási eszköz a kép húzásával frissíti az ablak középértékét és szélességét. Rendeljen hozzá egy egérgombot, majd nyomja le és tartsa lenyomva a képet a hozzárendelt gombbal. Húzza az egeret valamelyik irányba az ablakolás frissítéséhez. Ha egyszerre szeretné frissíteni a kép fényerejét és kontrasztját, húzza az egeret átlósan a képen.
Húzza jobbra a fényerő csökkentéséhez (magasabb ablak középérték).
Húzza balra a fényerő növeléséhez (alacsonyabb ablak középérték).
Húzza fel a kontraszt csökkentéséhez (magasabb ablak szélesség).
Húzza le a kontraszt növeléséhez (alacsonyabb ablak szélesség).
Fontos
Amikor a kép pixelértékei invertálódnak, az egérrel történő húzással alkalmazott ablakolás hatásai is invertálódnak.
Minimális érték mintavétel¶
Válassza a Minimális érték mintavétel lehetőséget az ablakolás menüből. Az eszköz használatához rendelje hozzá a kívánt egérgombot, majd nyomja meg a képet a hozzárendelt egérgombbal a pixelérték mintavételezéséhez. Az ablakközép és ablakszélesség értékei automatikusan kiszámításra kerülnek a mintavett minimum érték alapján.
Maximális érték mintavétel¶
Válassza a Maximális érték mintavétel lehetőséget az ablakolás menüből. Az eszköz használatához rendelje hozzá a kívánt egérgombot, majd nyomja meg a képet a hozzárendelt egérgombbal a pixelérték mintavételezéséhez. Az ablakközép és ablakszélesség értékei automatikusan kiszámításra kerülnek a mintavett maximum érték alapján.
Dinamikus ablakolás¶
A kép ablakolásának alkalmazásához a rendelkezésre álló minimum és maximum pixelértékek alapján válassza az Dinamikus ablakolás lehetőséget az ablakolás menüből.
Ablakolás visszaállítása¶
Állítsa vissza az alkalmazott ablakolást az alapértelmezett ablakközép és ablakszélesség értékekre, amelyek a DICOM címkékben vannak megadva.
Ablakolás csúszkák és előbeállítások¶
CT/MR modalitású vizsgálatok megnyitásakor a VisioVIEW Viewerben a felhasználók számára az ablakolási csúszkák és előbeállítások a megjelenítő eszköztárának jobb oldalán érhetők el. Módosítsa a kép Középpont és Szélesség értékeit a megfelelő csúszka húzásával a kívánt irányba, vagy válasszon az elérhető ablakolás előbeállítások közül a képre való alkalmazásához. Az ablakolás előbeállítások módosíthatók ebben a szakaszban.
Nagyítás¶
A kívánt terület gyors nagyításához használja a Nagyítás eszközt a megjelenítő eszköztárából. Ehhez az eszközhöz egy konkrét egérgomb is hozzárendelhető. Alapértelmezés szerint ehhez az eszközhöz a jobb egérgomb van hozzárendelve.
Nyomja meg és tartsa lenyomva a hozzárendelt egérgombot a képen az eszköz aktiválásához és a kép nagyított részének megjelenítéséhez. A kép nagyított részét az egér húzásával mozgathatja a kívánt irányba.
Előző és következő kép¶
Kép invertálása¶
A felhasználók a Kép invertálása eszközt használhatják a kép pixelértékeinek invertálására, amit a DICOM szabvány a kép polaritásának megfordításaként ismer. Ez az eszköz csak monokróm képekre van hatással, a sötét pixeleket világos pixelekké, a világos pixeleket pedig sötét pixelekké alakítja.
Nyomja meg a megjelenítő eszköztárában található Kép invertálása gombot a kép polaritásának megfordításához. Az eredeti állapot visszaállításához nyomja meg ismét a gombot.
Képernyőhöz igazítás¶
A kép átméretezéséhez és arányos skálázásához, hogy kitöltse a teljes nézőterületet, használja a megjelenítő eszköztárában található Képernyőhöz igazítás gombot. Alapértelmezés szerint a VisioVIEW Megjelenítőben minden kép a teljes nézőterület kitöltésével van megnyitva. Az alapértelmezett beállítást a Modalitás- és gyártóspecifikus Megejelnítői beállítások szakaszban módosíthatja.
Teljes nagyítás¶
A kép átméretezéséhez és az eredeti méretre történő skálázásához, a megejelnítőterületre való tekintet nélkül, nyomja meg a megejelnítő eszköztárában található Teljes nagyítás gombot. Állítsa be ezt alapértelmezett opcióként a képek megnyitásakor a Modalitás- és gyártóspecifikus Megejelnítői beállítások szakaszban.
Forgatás és tükrözés¶
A kép függőleges vagy vízszintes irányú forgatásához vagy tükrözéséhez (tükör) kattintson a felső eszköztárban található Kép forgatása gombra a forgató panel megnyitásához, ahol minden művelet elérhető.
Az aktív kép forgatását manuálisan módosíthatja a forgatógomb húzásával balra (negatív irány) vagy jobbra (pozitív irány). A jelenlegi forgatási szög a gomb alatt jelenik meg.
Forgassa el a képet +90° vagy -90° fokkal a megfelelő gombok megnyomásával. Állítsa vissza a kép forgatását a 0° gomb megnyomásával.
Kép transzformációk visszaállítása¶
Mérések és feliratok elrejtése/megjelenítése¶
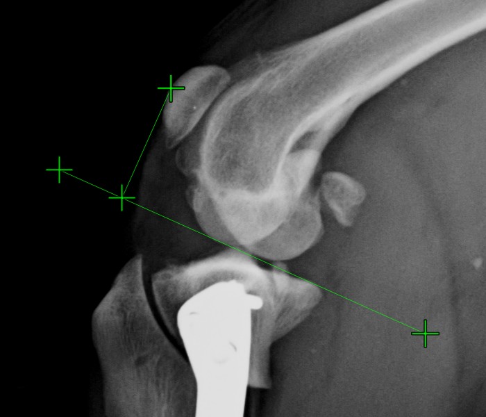
A mérések, azok leírásai és feliratai elrejthetők a megjelenítő eszköztárában található Mérések és feliratok elrejtése/megjelenítése gomb használatával. A gomb az aktív állapotnak megfelelően frissül, és mindig mutatja a mérések aktuális aktív állapotát.
Ezt a beállítást minden mérésnél egyedileg módosíthatja a méréslista használatával.
Minden mérés továbbra is látható a megjelenítőterületen, azonban azok leírása és feliratai el vannak rejtve.
Ezenkívül a mérések láthatósága a megjelenítőterületen a Megjelenítő menü Menü -> Mérések megjelenítése lehetőségének használatával is váltható.
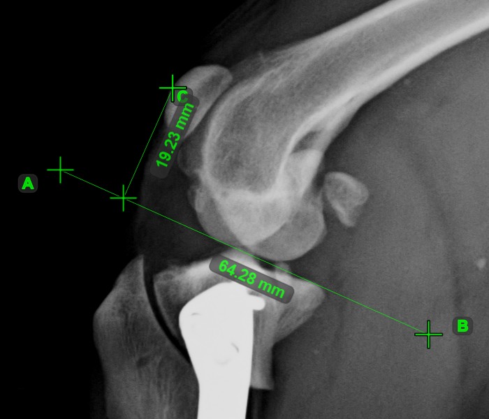
Méréslista¶
A méréslista egy független ablak, amely az aktuálisan aktív megjelenítőre rajzolt összes mérést megjeleníti listaszerűen. A mérésablak megnyitásához nyomja meg a megjelenítő eszköztárában található Méréslista gombot. Az ablak automatikusan bezárul a Megjelenítő bezárásakor. A felhasználók továbbra is dolgozhatnak a VisioVIEW Megjelenítőben, még akkor is, ha a lista a háttérben van megnyitva.
A lista minden mérése külön sorban jelenik meg, megmutatva a mérés színét, leírását, eredményét és értékét. A mérések és azok leírása és feliratai láthatóságának egyedi módosításához nyomja meg a megfelelő ikont minden mérés sorának jobb oldalán. A gomb műveletei megegyeznek a globális opcióval.
A komplex mérések az elérhető egyszerű mérésekből épülnek fel, ezért a méréslistában ennek megfelelően csoportosítva jelennek meg. A felhasználóknak lehetőségük van a csoportosított mérések kibontására vagy összecsukására, - amelyek minden haladó mérés részét képezik, - a haladó mérés sorának kezdetén található nyíl ikon megnyomásával. Ezenfelül minden olyan művelet, amely egyedi, egyszerű méréseken elvégezhető, alkalmazható a teljes összetett mérési csoportra is.
Válassza ki a méréseket a listából a megfelelő sorra kattintva. A mérés kiválasztásának váltásához tartsa lenyomva a CTRL billentyűt, és kattintson a mérés sorára.
Mérés zárolása a lista kiválasztásával és az ablak alján található
Kijelöltek zárolásagomb megnyomásával. A mérések zárolása megakadályozza azok módosítását.Kivjelölt mérések törlése az ablak alján található
Kijelölt törlésegomb megnyomásával.Minden mérés törlése a nézőterületről az ablak alján található
Összes törlésegomb megnyomásával.
Mérésvonal vastagsága és feliratméret¶
Kattintson a megjelenítő eszköztárában található Mérés vastagságának módosítása gombra a megfelelő panel megnyitásához. Az aktuális nézet méréseinek vonalvastagságának és feliratméretének frissítése átmenetileg felülírja a globális beállításokat.
A mérések jobb láthatóságának és olvashatóságának biztosítása érdekében egyszerűen húzza a megfelelő csúszkát a kívánt irányba, nyomja meg az elérhető előbeállítások egyikét, vagy manuálisan írja be az értéket a megfelelő paraméter melletti mezőbe. Az aktuális nézet összes mérése automatikusan frissül.
A Mérési vonal vastagsága és a Mérés cimke mérete paraméterek egyidejű frissítése elérhető a két szakaszt összekötő gomb megnyomásával.
Összes mérés törlése¶
Távolítson el minden mérést az aktuális nézet képéről a megjelenítő eszköztárában található Összes mérés törlése gomb megnyomásával. A művelet megerősítéséhez nyomja meg a Igen gombot.
Figyelem
Ezt a műveletet nem lehet visszavonni. Gondosan válassza meg, mikor használja, vagy töröljön csak néhány kiválasztott mérést a méréslista használatával..
Kifüggesztési protokoll váltása¶
Nyomja meg a Kifüggesztési protokoll váltása gombot a megnyitott Kifüggesztési protokoll be- vagy kikapcsolásához a VisioVIEW Viewerben. A gomb csak akkor érhető el, ha a Megjelenítőt eredetileg Kifüggesztési protokollal nyitották meg, vagy ha a Kifüggesztési protokollt a Kifüggesztési protokoll párbeszédablak használatával választották ki.
Amikor a Kifüggesztési protokoll ki van kapcsolva, a megjelenítő rácskiosztása visszaáll egyetlen kép megjelenítésére. A felhasználók létrehozhatják saját rácselrendezéseiket, vagy egyszerűen visszakapcsolhatják a Kifüggesztési protokollt a kívánt rács alkalmazásához.
Kifüggesztési protokoll párbeszédpanel megnyitása¶
Beállítások ikon segítségével a Kifüggesztési protokoll beállításai megnyitásával. A párbeszédablak bezárásához nyomja meg az Ok gombot.
Tárolt elrendezés felülírása: Felülírja a kiválasztott Kifüggesztési protokoll elrendezését és rácsszabályait. A gomb akkor válik aktívvá, amikor a felhasználók manuálisan módosítják a cellák méretét a megjelenítő rácsákiosztásában, vagy amikor a néző rácsában a sorok vagy oszlopok számát módosítják a megjelenítő menüben elérhető opciók használatával.
Példány szabályok hozzárendelése: A DICOM képeket bármelyik cellába elhelyezheti a megjelenítő rácsában, ha a VisioVIEW Megjelenítő meg van nyitva a megjelenítő képréteg használatával, vagy a sorozat panelből történő megnyitással. Amikor a Kifüggesztési protokoll aktív a Megjelenítőben, azok a képek, amelyeket a rácsba helyeznek anélkül, hogy megfelelnének a Kifüggesztési protokoll példányszabályainak, hozzárendelhetők az adott cellához tartozó példányszabályokhoz a kiválasztott Kifüggesztési protokoll alapján. A hozzárendelés után ezek a példányszabályok felülírják a DICOM fájlban található konkrét DICOM címkeértékeket.
Változtatásokk visszaállítása: Visszaállítja a kiválasztott Kifüggesztési protokoll elrendezésében és rácsszabályaiban történt, el nem mentett módosításokat (frissített megjelenítőrács, módosított cellaméretek és/vagy átrendezett vagy módosított képek).
Megjelenítő képsorozat megnyitása¶
A VisioVIEW Megjelenítő lehetőséget biztosít a felhasználóknak több egyrétegű kép egymásra helyezésére egy cellán belül. Ez a funkció a Kifüggesztési protokollok része is, amikor több kép ugyanazokat a példányszabályokat osztja meg egy adott néző celláján belül. Az egyes cellák aktuális képsorozatainak megnyitásához nyomja meg a megjelenítő eszköztárában található Megjelenítő képsorozat megnyitása gombot.
A felhasználók a képeket a Sorozat panelről közvetlenül az megnyitott képsorozatba húzhatják és ejthetik, vagy áthúzhatják a képeket egyik sorozatból a másikba. A megjelenítő képsorozatában található képek mindig a sorozat dátum és idő DICOM címkék szerint vannak rendezve. Minden sorozat száma a sorozatot reprezentáló előnézet bal felső sarkában van feltüntetve.
Ha egy képet közvetlenül a cellába helyez, az teljesen törli az egész képrsorozatot. Az egyes képek eltávolításához a sorozatból nyomja meg az x gombot az egyes képek jobb felső sarkában.
További információ arról, hogyan kapcsolódik a Megjelenítő képsorozat a Megjelenítő Sorozat panelhez, elérhető a következő szakaszban.
Szabályok visszaállítása¶
Visszaállítja a kiválasztott Kifüggesztési protokoll elrendezésében és rácsszabályaiban történt, el nem mentett módosításokat (frissített megjelenítő rácskiosztás, módosított cellaméretek és/vagy átrendezett vagy módosított képek). Ezenkívül ennek az eszköznek a használata visszaállítja az összes helyileg hozzárendelt példányszabályt az aktuálisan megnyitott DICOM képeknél a Megjelenítőben.
Képernyőkép készítése¶
A VisioVIEW Viewer lehetőséget biztosít a felhasználóknak, hogy képernyőképeket készítsenek a megnyitott képekről a megjelenítő eszköztárában található Képernyőkép készítése eszköz használatával. A teljes képernyőkép menü megnyitásához nyomja meg és tartsa lenyomva a gombot az eszköztárban.
A Megjelenítőben három lehetőség áll rendelkezésre képernyőképek készítésére. A Kép másolása az aktív nézetablakban lévő képet másolja, a Jelenet másolása az egész jelenetről készít képernyőképet a Megjelenítőben, míg a Szabad kiválasztás lehetőség lehetővé teszi a felhasználók számára, hogy kiválasszák a rögzítendő területet.
Minden opció a menüben megadott billentyűparancsok használatával is aktiválható. A képernyőképek automatikusan a vágólapra kerülnek.















