Annotationsüberlagerungen¶
Der CT-Viewer verfügt über mehrere verschiedene Überlagerungen auf den geladenen Bildern, die nützliche Informationen über die Studie, das Bild und die Orientierung des Slicers sowie über die HU-Pixelwerte und die Cursorposition anzeigen.
Studien- und Patienteninformationen¶
Standardmäßig zeigt VisioVIEW die zugehörigen Studien- und Patienteninformationen für das Bild in den oberen linken und rechten Ecken des Axial-Viewports aller aktiven Bilder im CT-Viewer an.
Detaillierte Informationen zu diesen Anmerkungen und zur Anpassung finden Sie im folgenden Abschnitt im regulären VisioVIEW-Viewer.
Cursor- und Kreuzzentrum-Position¶
Beim Arbeiten mit volumetrischen DICOM-Daten der CT-Modalität sind die HU- (Hounsfield-Einheit) Werte jedes Pixels im 3D-Körper von großer Bedeutung. Die Hounsfield-Einheit ist eine quantitative Skala zur Messung der Röntgendichte jedes Gewebes.
Bewegen Sie den Mauszeiger über die Bilder in jedem der drei verfügbaren Ebenen, um den HU-Wert an der jeweiligen Cursorposition abzulesen. Befindet sich der Cursor nicht innerhalb der Bildgrenzen, wird die Kreuzzentrum-Position des Schnittpunktes der beiden Slicer und der entsprechende HU-Wert angezeigt.
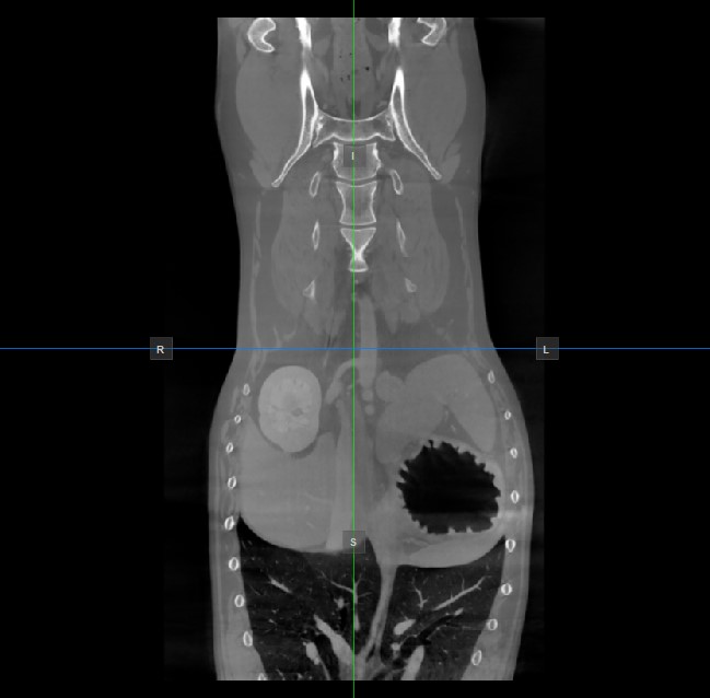
Bildorientierung und Bildebenen¶
Die Position und der Schnitt der beiden anderen Bildebenen, die im aktiven Viewport nicht dargestellt werden, wird durch zwei vertikale und horizontale Linien angezeigt, die als Slicer bezeichnet werden. Die Endpunkte jedes Slicers sind mit einem Buchstaben gekennzeichnet, der der entsprechenden Richtung/Seite des 3D-Volumens entspricht, basierend auf dem RAS-Koordinatensystem.
Auf jedem 2D-Viewport werden nur vier der verfügbaren sechs Seiten angezeigt. Die Beschriftungen und die entsprechenden Seiten sind wie folgt:
Patient rechts (R), zeigt die rechte Körperseite an
Patient links (L), zeigt die linke Körperseite an
Anterior (A), zeigt die Vorderseite des Körpers an
Posterior (P), zeigt die Rückseite des Körpers an
Superior (S), zeigt die Oberseite des Körpers an
Inferior (I), zeigt die Unterseite des Körpers an




