TPA-Winkel/TPLO¶
Der TPA-Winkel (Tibial Plateau Angle) ist eine der wichtigsten orthopädischen Messungen in der Veterinärmedizin und misst die Neigung des Tibiaplateaus relativ zur Längsachse der Tibia. Wählen Sie die Messung TPA-Winkel aus dem Erweiterten Messmenü und weisen Sie ihr die linke Maustaste zu.
Die TPA-Winkel-Messung ist ein entscheidender Bestandteil der Planung von Korrekturoperationen wie TPLO (Tibial Plateau Leveling Osteotomy). Erweitern Sie die TPA-Winkel-Messung mit TPLO in den Einstellungen des einfachen Viewers.
Starten Sie die Messung, indem Sie die Eminentia Intercondylaris markieren, die sich am Gelenk zwischen Femur und Tibia befindet.
Das Bild unten zeigt die übliche Platzierung des Punkts Eminentia Intercondylaris.
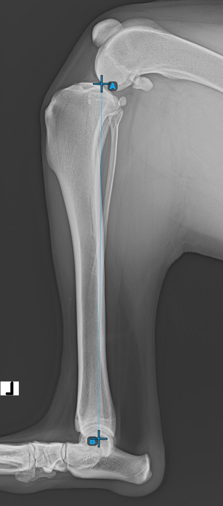
Fahren Sie fort, indem Sie den Mittelpunkts der Cochlea markieren, der sich am Ende des Tibiaknochens befindet. Die Linie zwischen der Eminentia Intercondylaris und dem Mittelpunkts der Cochlea stellt die Längsachse der Tibia dar.
Das Bild unten zeigt die übliche Platzierung des Mittelpunkts der Cochlea.
Sobald die Längsachse der Tibia bestimmt wurde, markieren Sie den vordersten Punkt des Tibiakopfes (Tibiaplateau).
Das Bild unten zeigt die übliche Platzierung des vordersten Punkts am Tibiaplateau.
Vervollständigen Sie die TPA-Winkel-Messung, indem Sie den hintersten Punkt des Tibiakopfes (Tibiaplateau) markieren. Der TPA-Winkel wird automatisch als der Winkel zwischen der Linie, die die beiden Punkte am Tibiaplateau verbindet, und der senkrechten Linie zur Längsachse der Tibia berechnet.
Das Bild unten zeigt die übliche Platzierung des hintersten Punkts am Tibiaplateau und die automatisch berechnete TPA-Winkel-Messung.
Wenn die TPLO-Erweiterung zur TPA-Winkel-Messung aktiviert ist, wählen Sie eine der verfügbaren Optionen aus der Symbolleiste des erweiterten Messmodus, um die Messung fortzusetzen/abzuschließen. Andernfalls wird die TPA-Winkel-Messung automatisch abgeschlossen.
Drücken Sie
Fertigstellen, um die TPA-Winkel-Messung ohne TPLO-Erweiterung zu bestätigen und abzuschließen.Aktivieren Sie die TPLO-Erweiterung, indem Sie die Schaltfläche
TPA mit TPLO erweiternverwenden.Blenden Sie die TPA-Winkel-Messung während der TPLO-Erweiterung ein oder aus, indem Sie das Kontrollkästchen
TPA-Messung ausblendenumschalten.![]()
Starten Sie die TPLO-Erweiterung, indem Sie den Tibiakamm markieren. Die Größe der Sägeblattklinge für die TPLO-Erweiterung wird automatisch als Abstand zwischen der Eminentia Intercondylaris und dem Punkt berechnet, der zwei Drittel entlang der Linie zwischen dem hintersten Punkt des Tibiakopfes und dem Tibiakamm liegt.
Das Bild unten zeigt die übliche Platzierung des Punkts am Tibiakamm auf dem Tibiakopf.
Bevor die TPLO-Erweiterung abgeschlossen wird, können Benutzer die Parameter der Messung ändern, die zur Berechnung der Rotationsstrecke für das Verfahren in der Symbolleiste des erweiterten Messmodus erforderlich sind.
Fixieren Sie die TPA-Winkel-Berechnung, indem Sie das Kontrollkästchen
Fixierenumschalten. Andernfalls werden Änderungen am TPA-Winkel in der Berechnung der Rotationsstrecke berücksichtigt.Geben Sie den gewünschten TPA-Winkel für das TPLO-Verfahren in das Eingabefeld
Gewünschter TPA (°)ein.Um die Größe der Sägeblattklinge neu zu berechnen, geben Sie den gewünschten Wert in das Eingabefeld
Sägeblattgrößeein.![]()
Drücken Sie Rotationsstrecke berechnen, um die erforderlichen Berechnungen für das TPLO-Verfahren durchzuführen. Die berechnete Rotationsstrecke wird in der Symbolleiste des erweiterten Messmodus angezeigt.
Die TPA-Winkel-Messung mit TPLO-Erweiterung bleibt aktiv, bis der Benutzer die Schaltfläche Fertigstellen in der rechten Ecke der Symbolleiste des erweiterten Messmodus drückt.
Ändern Sie die Position der Punkte, um die TPA-Winkel-Messung neu zu berechnen. Um die Rotationsstrecke für das TPLO-Verfahren neu zu berechnen, doppelklicken Sie auf die Oberfläche der gesamten Messung und öffnen Sie die Symbolleiste des erweiterten Messmodus, um die erforderlichen Parameter zu ändern.




