Messwerkzeuge¶
Der VisioVIEW-Viewer bietet dem Benutzer eine umfangreiche Reihe von Messwerkzeugen, die bei der klinischen Diagnose der Patienten helfen. Die Messwerkzeuge befinden sich in der linken vertikalen Symbolleiste des Viewers. Sie sind in zwei Bereiche unterteilt: einfache und erweiterte Messungen.
Der folgende Abschnitt befasst sich mit der einfachen Messung im Viewer. Um die verfügbaren einfachen Messungen zu erweitern, drücken Sie auf die Schaltfläche Einfache Messungen. Drücken Sie erneut auf die Schaltfläche, um den Abschnitt wieder zu schließen.
Anleitungen für einfache und erweiterte Messwerkzeuge werden in der unteren Informationsleiste des VisioVIEW Viewers angezeigt. Die Anleitungen helfen dem Benutzer beim Zeichnen der Messungen.
Alle einfachen Messwerkzeuge können verschiedenen Maustasten zugewiesen werden, so dass mehrere Werkzeuge gleichzeitig ausgewählt werden können.
Werkzeug zum Auswählen/Verschieben von Objekten¶
Einfache Messungen werden aus mehreren Punkten konstruiert. Wählen Sie vorhandene Messungen in der Viewer-Szene aus, um sie zu verschieben und anzupassen. Die Messwerte und Ergebnisse werden während der Änderung automatisch neu berechnet.
Die Position der Meßwert- und Ergebnisbeschriftungen einiger Meßwerkzeuge kann zur besseren Lesbarkeit mit dem Werkzeug Element auswählen/verschieben an die gewünschte Stelle verschoben werden.
Messpunkt¶
Measurement Point. Jeder Punkt ist zur besseren Identifizierung mit einem Buchstaben versehen.Objekt auswählen/verschieben. Wählen Sie den Punkt mit der zugewiesenen Maustaste des Werkzeugs aus und verschieben Sie ihn dann frei an eine beliebige Stelle im Bild.
Längenkalibrierung¶
Abstände und Messergebnisse werden automatisch anhand der Pixelabstandsinformationen im DICOM-Bild kalibriert. Verwenden Sie das Werkzeug Längenkalibrierung, um die Abstände neu zu kalibrieren oder die Kalibrierdaten festzulegen, wenn die Informationen in der DICOM-Datei fehlen.
Wählen Sie das Werkzeug
Längenkalibrierungaus und weisen Sie es einer der verfügbaren Maustasten zu.Messen Sie einen bekannten Abstand im Bild, indem Sie Start- und Endpunkt setzen oder diese aus bereits vorhandenen Punkten im Bild auswählen.
Geben Sie die Länge der Kalibrierungslinie in Millimetern an und drücken Sie
OK, um das Bild neu zu kalibrieren.
Informationen
Pro Bild ist nur eine Längenkalibrierung-Messung zulässig. Um das Bild erneut zu kalibrieren, entsperren Sie entweder die Kalibrierungslinie und ändern sie oder löschen Sie sie aus der Szene und zeichnen sie erneut.
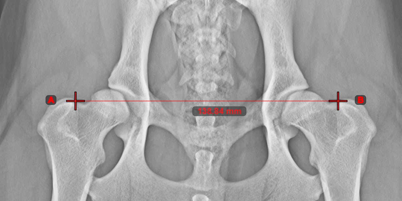
Linienmessung¶
Erstellen Sie eine Linienmessung, um den Abstand zwischen zwei Punkten mit hoher Genauigkeit zu berechnen.
Wählen Sie das Werkzeug Linienmessung aus und weisen Sie es einer der verfügbaren Maustasten zu. Setzen Sie die Start- und Endpunkte in der Szene oder wählen Sie sie aus bereits vorhandenen Punkten im Bild aus. Der Abstand zwischen den beiden Punkten wird automatisch anhand der Standardkalibrierdaten oder der durch die Längenkalibrierung-Messung neu kalibrierten Daten berechnet.
Ändern Sie den Start- und Endpunkt mit dem Werkzeug Objekt auswählen/verschieben. Der Abstand zwischen den beiden Punkten wird automatisch neu berechnet.
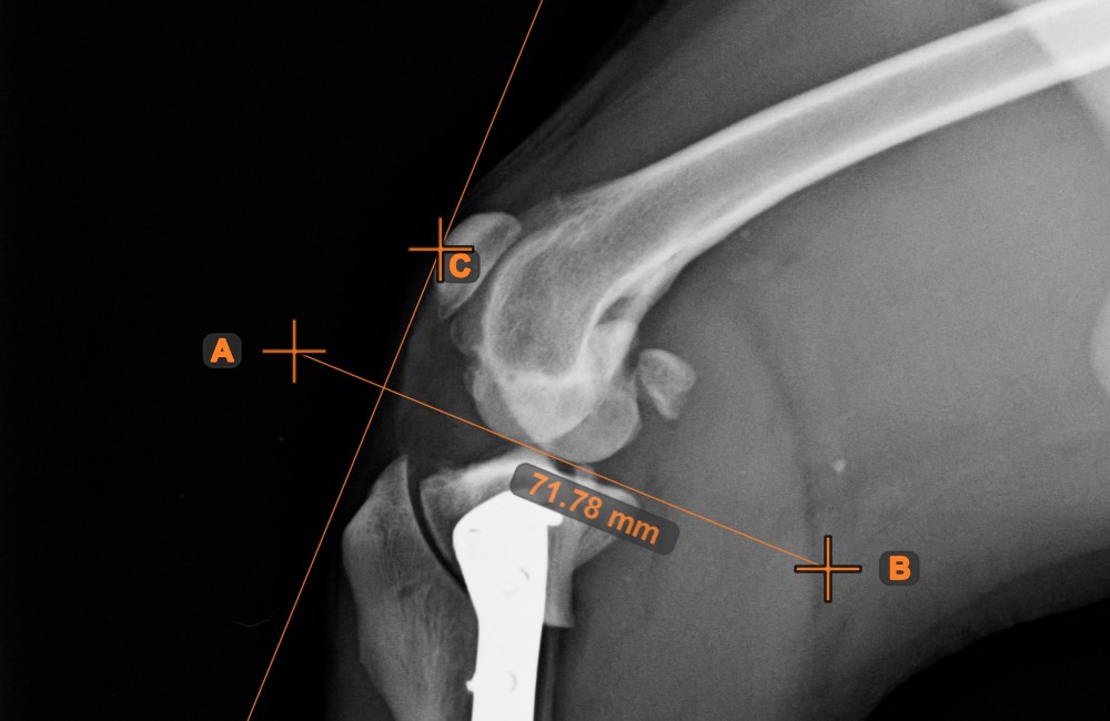
Mittlerer Punkt der Linie¶
Bestimmen und markieren Sie den Mittelpunkt einer neuen oder vorhandenen Linienmessung in der Szene mit dem Werkzeug Mittlerer Punkt der Linie.
Wählen Sie das Werkzeug aus der linken Symbolleiste aus und weisen Sie es einer der verfügbaren Maustasten zu. Setzen Sie die Start- und Endpunkte in der Szene, wählen Sie sie aus bereits vorhandenen Punkten im Bild aus oder wählen Sie eine bereits gezeichnete Linie aus der Szene. Der Mittelpunkt der Linie wird automatisch berechnet und in der Szene platziert. Der Mittelpunkt jeder Linie wird stets mit dem Buchstaben C markiert.
Linienkreuzung¶
Lokalisieren und markieren Sie schnell und präzise den Schnittpunkt zwischen zwei vorhandenen Linien mit dem Werkzeug Linienkreuzung.
Wählen Sie das Werkzeug aus der linken Symbolleiste aus und weisen Sie es einer der verfügbaren Maustasten zu. Wählen Sie zwei bereits in der Szene gezeichnete Linien aus, um die Messung abzuschließen. Der Schnittpunkt der Linien wird automatisch berechnet und in der Szene markiert. Der Schnittpunkt zweier Linien wird stets mit dem Buchstaben X markiert.
Informationen
Wenn sich zwei Linien nicht direkt schneiden, wird der Schnittpunkt ihrer verlängerten Projektionen in der Szene markiert.
Winkel zwischen Linien¶
Berechnen Sie den Winkel zwischen zwei unabhängigen oder sich schneidenden Linien mit dem Werkzeug Winkel zwischen Linien.
Wählen Sie das Werkzeug aus der linken Symbolleiste aus und weisen Sie es einer der verfügbaren Maustasten zu. Beginnen Sie, indem Sie die erste Linie aus den bereits in der Szene gezeichneten Linien auswählen oder Start- und Endpunkt setzen, um die Linie zu erstellen. Wiederholen Sie die gleichen Schritte für die zweite Linie der Messung. Der Winkel zwischen den beiden Linien wird automatisch berechnet.
Ändern Sie die Start- und Endpunkte beider Linien mit dem Werkzeug Objekt auswählen/verschieben. Der Winkel zwischen den beiden Linien wird automatisch neu berechnet.
Informationen
Wenn sich zwei Linien nicht direkt schneiden, wird der Winkel ihrer verlängerten Projektionen in der Szene berechnet.
Fester Winkel¶
Verwenden Sie das Werkzeug Fester Winkel, um einen Linienwinkel mit einem festen Bogen zu erstellen. Später kann nur die Ausrichtung des Winkels in der Szene geändert werden.
Wählen Sie das Werkzeug
Fester Winkelaus der linken Symbolleiste aus und weisen Sie es einer der verfügbaren Maustasten zu.Wählen Sie eine Linie aus den bereits in der Szene gezeichneten Linien aus oder markieren Sie den Startpunkt der Anfangsseite des Winkels.
Geben Sie den gewünschten Winkel in Grad an und drücken Sie
OK, um fortzufahren.![]()
Markieren Sie den Endpunkt der Anfangsseite des Winkels, um die Messung abzuschließen. Wenn der Benutzer im zweiten Schritt eine Linie ausgewählt hat, wird die Messung automatisch abgeschlossen. Die Endseite des Winkels wird basierend auf der Ausrichtung der Anfangsseite und dem angegebenen Winkel in Grad gezeichnet.
![]()
Winkel aus 3 Punkten¶
Das Werkzeug Winkel aus 3 Punkten ist eine einfache und effektive Möglichkeit, einen Winkel anhand von nur drei Punkten zu berechnen.
Beginnen Sie, indem Sie das Werkzeug aus der linken Symbolleiste auswählen und einer der verfügbaren Maustasten zuweisen. Setzen Sie den Startpunkt der Anfangsseite, den Scheitelpunkt und den Endpunkt der Endseite des Winkels oder wählen Sie die Punkte aus der Szene aus. Die Seiten des Winkels werden automatisch konstruiert, wodurch der Winkel zwischen den Linien berechnet wird.
Ändern Sie die Position der drei Punkte, um den Bogen des Winkels mit dem Werkzeug Objekt auswählen/verschieben zu ändern.
Parallele Linie¶
Erstellen Sie neue parallele Linien zu einer vorhandenen Linie in der Szene mit dem Werkzeug Parallele Linie.
Wählen Sie das Werkzeug aus der linken Symbolleiste aus und weisen Sie es einer der verfügbaren Maustasten zu.
Wählen Sie die Basislinie für die neue parallele Linie aus den vorhandenen Linien in der Szene aus.
Markieren Sie den Punkt in der Szene, durch den die parallele Linie verlaufen soll.
![]()
Durch Ändern der Ausrichtung der Basislinie wird die Ausrichtung der parallelen Linie automatisch angepasst. Verschieben Sie die parallele Linie, indem Sie den Punkt auswählen und verschieben, durch den die Linie gezeichnet wurde.
Senkrechte Linie¶
Erstellen Sie neue senkrechte Linien zu einer vorhandenen Linie in der Szene mit dem Werkzeug Senkrechte Linie.
Wählen Sie das Werkzeug aus der linken Symbolleiste aus und weisen Sie es einer der verfügbaren Maustasten zu.
Wählen Sie die Basislinie für die neue senkrechte Linie aus den vorhandenen Linien in der Szene aus.
Markieren Sie den Punkt in der Szene, durch den die senkrechte Linie verlaufen soll.
![]()
Durch Ändern der Ausrichtung der Basislinie wird die Ausrichtung der senkrechten Linie automatisch angepasst. Verschieben Sie die senkrechte Linie, indem Sie den Punkt auswählen und verschieben, durch den die Linie gezeichnet wurde.
Kreis aus 3 Punkten¶
Das Werkzeug Kreis aus 3 Punkten ist eine einfache und effektive Möglichkeit, einen Kreis anhand von nur drei Punkten zu erstellen.
Beginnen Sie, indem Sie das Werkzeug aus der linken Symbolleiste auswählen und einer der verfügbaren Maustasten zuweisen. Setzen Sie die drei Punkte des Kreises oder wählen Sie die Punkte aus den in der Szene verfügbaren aus. Der Kreis wird automatisch basierend auf der Position der drei Punkte erstellt. Der Ursprung des Kreises wird stets mit O markiert. Der Radius des Kreises wird automatisch berechnet.
Ändern Sie die Position der drei Punkte, um den Radius des Kreises mit dem Werkzeug Objekt auswählen/verschieben zu ändern.
Kreis mit definiertem Radius¶
Zeichnen Sie einen Kreis mit festem Radius mit dem Werkzeug Kreis mit definiertem Radius. Später kann nur die Position des Kreises in der Szene geändert werden.
Wählen Sie das Werkzeug aus der linken Symbolleiste aus und weisen Sie es einer der verfügbaren Maustasten zu. Setzen Sie den Ursprung des neuen Kreises in der Szene oder wählen Sie einen bereits vorhandenen Punkt aus. Geben Sie den gewünschten Radius des Kreises an und drücken Sie OK, um die Messung abzuschließen.
Abstand zwischen Linie und Punkt¶
Messen Sie den Abstand zwischen einer Linie und einem bestimmten Punkt in der Szene mit dem Werkzeug Abstand zwischen Linie und Punkt.
Wählen Sie das Werkzeug aus der linken Symbolleiste aus und weisen Sie es einer der verfügbaren Maustasten zu. Beginnen Sie die Messung, indem Sie eine bereits vorhandene Linie in der Szene auswählen. Um die Messung abzuschließen, setzen Sie den gewünschten Punkt in der Szene oder wählen Sie einen bereits vorhandenen Punkt aus. Der Abstand zwischen der Linie und dem Punkt wird automatisch berechnet.
Ändern Sie die Messung, indem Sie einen der Punkte mit dem Werkzeug Objekt auswählen/verschieben verschieben.
Textwerkzeug¶
Beschriften und kommentieren Sie wichtige Informationen im Bild mit dem Werkzeug Textwerkzeug. Der Text wird immer einem Punkt zugewiesen, der später mit dem Werkzeug Objekt auswählen/verschieben geändert werden kann.









