VisioVIEW - Viewer

The VisioVIEW Viewer

The VisioVIEW Viewer is a dedicated DICOM Viewer capable of displaying 2D monochromatic and color DICOM images. It supports static DICOM images as well as dynamic sequences of frames and slices. In addition, the VisioVIEW Viewer supports MPEG-2/MPEG-4 compressed video files with specific video playback controls.

Built with the purpose to support DICOM Hanging Protocols, the VisioVIEW Viewer leverages a grid view functionality, allowing users to split the active tab into dedicated views for a more tailored experience. At last, it provides 2D Multiplanar Reconstruction (MPR) of volumetric data, enabling users to freely switch between each of the available planes (Axial, Coronal, and Sagittal).

The VisioVIEW Viewer also offers a comprehensive set of tools for customization, image manipulation, and dedicated simple and advanced measurements, aiding the diagnosis of patients. The core features of the VisioVIEW Viewer are available via its interface:

  • Open DICOM files in the active Viewer tab

  • Customize the Viewer grid

  • View DICOM file information by accessing the DICOM Header

  • Manipulate the active DICOM image with a dedicated set of tools

  • Utilize the Viewer’s simple and advanced measurement tools for better medical evaluation

Sections of the VisioVIEW Viewer

The VisioVIEW Viewer consists of several sections, each tailored to a specific purpose. Below is a detailed description of each section.

../_images/image16.jpg
  1. Menu Bar

  2. Top Toolbar

  3. Left Toolbar - Measurements

  4. Viewer Area

  5. Information Bar

  6. Study Information & Series Panel

Top Toolbar

../_images/image215.jpg
  1. Move image

  2. Windowing tool (sample minimum and maximum values, apply dynamic windowing)

  3. Zoom in

  4. Previous image

  5. Next image

  6. Invert image

  7. Fit to screen

  8. Full zoom

  9. Rotate image

  10. Reset image transformations

  11. Hide/Show measurement information

  12. Open measurement list

  13. Modify measurement line thickness and label size

  14. Delete all measurements

  15. Toggle active Hanging Protocol

  16. Open Hanging Protocol dialog

  17. Open viewer image stack

  18. Reset locally applied instance rules

  19. Capture screenshots from the Viewer


Left Toolbar - Measurements

Simple Measurements

../_images/image228.jpg
  1. Select item

  2. Show/Hide simple measurement tools

  3. Create point

  4. Length calibration

  5. Create line

  6. Center of line

  7. Line intersection

  8. Angle of lines

  9. Fixed angle

  10. Angle from 3 points

  11. Parallel line

  12. Perpendicular line

  13. Circle from 3 points

  14. Circle from defined radius

  15. Distance between line and point

  16. Create text label

  17. Advanced measurement menu

Advanced Measurements

../_images/image297.jpg
  1. Cobb angle

  2. Hip Distraction Index

  3. Norberg angle

  4. TPA angle/TPLO

  5. TTA measurement

  6. TTA1 - 1 condilus

  7. TTA2 - 2 condilus

  8. Heart measurement

  9. TTA rapid


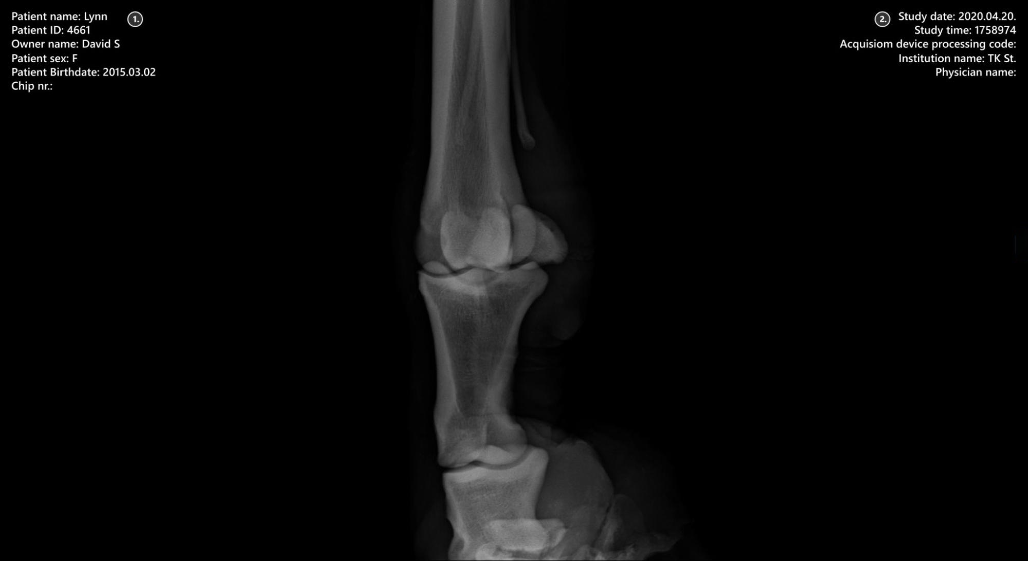
Viewer Area

../_images/image285.jpg
  1. Patient information

  2. Study information


Information Bar

../_images/image201.jpg

Shows information or instructions about the currently selected tool.


Study Information & Series Panel

../_images/image130.jpg
  1. Study group information for the available series

  2. Additional study DICOM information

  3. Series description for each available series

  4. Expand/Collapse study information and series panel