TTA MeasurementΒΆ
TTA (Tibial Tuberosity Advancement) is a surgical procedure aiming to stabilize the knee joint by changing the geometry of the tibial tuberosity where the patellar ligament is attached. Select the TTA Measurement from the
Advanced Measurement menu and assign the left mouse button to it.
The TTA measurement calculates the distance the tibial tuberosity needs to be advanced during surgery and is used to ensure proper repositioning and tension ont he patellar ligament, neutralizing joint instability. The TPA Angle is required to correctly calculate the TTA measurement.
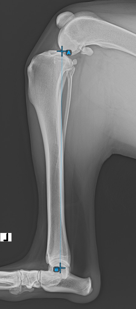
Start the measurement by marking the Eminentia Intercondylaris, which is located on the joint connecting the femur and the tibia.
The image below depicts the usual placement of the Eminentia Intercondylaris point.
Continue by marking the midpoint of the Cochlea, located at the end of the tibial bone. The line created between the Eminentia Intercondylaris and the midpoint of the Cochlea represents the long axis of the tibia.
The image below depicts the usual placement of the midpoint of the Cochlea.
Once the long axis of the tibia has been identified, mark the most cranial point of the tibial head (tibial plateau).
The image below depicts the usual placement of the most cranial point on the tibial plateau.
Complete the TPA Angle by marking the most caudal point of the tibial head (tibial plateau). The TPA Angle is automatically calculated as the angle between the line connecting the two points on the tibial plateau and the perpendicular line to the long axis of the tibia.
The image below depicts the usual placement of the most caudal point on the tibial plateau and the automatically calculated TPA Angle measurement.
Start the TTA measurement procedure by marking the most cranial point of the Patella.
The image below depicts the usual placement of the most cranial point of the Patella.
To complete the TTA measurement procedure mark the most dorsal point of the Crista Tibiae (Tuberositas Tibiae). The distance between the Tuberositas Tibiae and the line passing along the most cranial point of the Patella is the required adjustment for the TTA procedure.
The image below depicts the usual placement of the tibial tuberosity, the most prominent point of the tibial crest.
Modify the points constructing the measurement to recalculate the required advancement that should be made during the TTA procedure.





