Anzeige und Bildbearbeitungswerkzeuge¶
Die obere Symbolleiste des VisioVIEW Viewers enthält alle Werkzeuge zur Anzeige und Bildbearbeitung. Die Werkzeuge sind in vier Unterabschnitte unterteilt, die jeweils einer bestimmten Funktionalität zugeordnet sind.
Der erste Unterabschnitt bezieht sich darauf, wie das Bild im Viewer angezeigt (angesehen) wird, während der zweite Unterabschnitt Bildtransformationen (invertierte Polarität, Rotation, Vergrößern/Verkleinern) behandelt. Der dritte Unterabschnitt bezieht sich auf die auf dem Bild angezeigten Messungen, während der vierte und letzte Unterabschnitt die Hanging Protokoll Einstellungen des Viewers behandelt.
Bild verschieben¶
Das Werkzeug Bild verschieben ist ein einfaches Werkzeug, mit dem Benutzer Bilder verschieben oder schwenken können, die vergrößert und größer als der Viewer-Bereich sind. Die Bilder können in alle vier Richtungen bewegt werden. Dieses Werkzeug kann einer bestimmten Maustaste zugewiesen werden. Standardmäßig ist die mittlere Scrolltaste der Maus diesem Werkzeug zugewiesen.
Weisen Sie diesem Werkzeug eine Maustaste zu, indem Sie die Schaltfläche in der Symbolleiste mit der gewünschten Maustaste drücken. Drücken und halten Sie das Bild im Viewer-Bereich mit der zugewiesenen Maustaste und ziehen Sie es anschließend in die gewünschte Richtung, um das Bild zu verschieben.
Windowing (Helligkeit und Kontrast)¶
Um die Fensterbreite und den Fensterzentrumwert des DICOM-Bildes (Helligkeit und Kontrast) zu ändern, wählen Sie das Werkzeug Windowing in der Viewersymbolleiste aus. Drücken und halten Sie die Schaltfläche in der Symbolleiste, um das vollständige Windowing-Menü zu öffnen. Dieses Werkzeug kann einer bestimmten Maustaste zugewiesen werden. Standardmäßig ist die linke Maustaste diesem Werkzeug zugewiesen.
Standard-Windowing-Werkzeug¶
Das Standard-Windowing-Werkzeug aktualisiert die Fensterzentrum- und Fensterbreitenwerte, indem Sie auf dem Bild ziehen. Weisen Sie diesem Werkzeug eine Maustaste zu und drücken und halten Sie das Bild mit der zugewiesenen Maustaste. Ziehen Sie die Maus in eine der vier Richtungen, um das Windowing des Bildes zu aktualisieren. Um Helligkeit und Kontrast des Bildes gleichzeitig zu ändern, ziehen Sie die Maus diagonal über das Bild.
Ziehen Sie nach rechts, um die Helligkeit zu verringern (höherer Fensterzentrumwert)
Ziehen Sie nach links, um die Helligkeit zu erhöhen (niedrigerer Fensterzentrumwert)
Ziehen Sie nach oben, um den Kontrast zu verringern (höherer Fensterbreitenwert)
Ziehen Sie nach unten, um den Kontrast zu erhöhen (niedrigerer Fensterbreitenwert)
Wichtig
Wenn die Pixelwerte des Bildes invertiert sind, werden auch die Effekte des Windowings beim Ziehen der Maus invertiert.
Beispiel Minimalwert¶
Wählen Sie die Option Beispiel Minimalwert aus dem Windowing-Menü. Um das Werkzeug zu verwenden, weisen Sie die gewünschte Maustaste zu und drücken Sie das Bild mit der zugewiesenen Maustaste, um den Pixelwert zu erfassen. Die Fensterzentrum- und Fensterbreitenwerte werden automatisch basierend auf dem erfassten Minimalwert berechnet.
Beispiel Maximalwert¶
Wählen Sie die Option Beispiel Maximalwert aus dem Windowing-Menü. Um das Werkzeug zu verwenden, weisen Sie die gewünschte Maustaste zu und drücken Sie das Bild mit der zugewiesenen Maustaste, um den Pixelwert zu erfassen. Die Fensterzentrum- und Fensterbreitenwerte werden automatisch basierend auf dem erfassten Maximalwert berechnet.
Dynamisches Windowing¶
Um das Windowing des Bildes basierend auf den minimalen und maximalen verfügbaren Pixelwerten anzuwenden, wählen Sie die Option Dynamisches Windowing im Windowing-Menü.
Windowing zurücksetzen¶
Setzen Sie das angewandte Windowing des Bildes auf die Standardwerte für Fensterzentrum und Fensterbreite zurück, die in den DICOM-Tags angegeben sind.
Windowing-Schieberegler und Voreinstellungen¶
Beim Öffnen von CT-/MR-Studien im VisioVIEW Viewer stehen den Benutzern die Windowing-Schieberegler und Voreinstellungen auf der rechten Seite der Viewersymbolleiste zur Verfügung. Ändern Sie das Fensterzentrum und die Fensterbreite des Bildes, indem Sie den entsprechenden Schieberegler in die gewünschte Richtung ziehen, oder wählen Sie eine der verfügbaren Windowing-Voreinstellungen aus, die auf das Bild angewendet werden sollen. Die Windowing-Voreinstellungen können in diesem Abschnitt angepasst werden.
Vergrößern¶
Um einen Bereich von Interesse schnell zu vergrößern, verwenden Sie das Werkzeug Vergrößern aus der Viewersymbolleiste. Dieses Werkzeug kann einer bestimmten Maustaste zugewiesen werden. Standardmäßig ist die rechte Maustaste diesem Werkzeug zugewiesen.
Drücken und halten Sie das Bild mit der zugewiesenen Maustaste, um das Werkzeug zu aktivieren und den vergrößerten Bereich des Bildes anzuzeigen. Verschieben Sie den vergrößerten Bereich des Bildes, indem Sie die Maus in die gewünschte Richtung ziehen.
Vorheriges und nächstes Bild¶
Wenn mehrere Bilder im selben Viewertab geöffnet sind, können Benutzer einfach zwischen den Bildern wechseln, indem sie die Schaltflächen Vorheriges Bild und Nächstes Bild in der Viewersymbolleiste verwenden. Dieselbe Aktion kann auch mit den Pfeiltasten Links und Rechts auf der Tastatur ausgeführt werden.
Bild invertieren¶
Benutzer können das Werkzeug Bild invertieren verwenden, um die Pixelwerte des Bildes zu invertieren, im DICOM-Standard als Umkehrung der Polarität des Bildes bezeichnet. Dieses Werkzeug wirkt nur auf monochrome Bilder und invertiert dunkle Pixel in helle und umgekehrt.
Drücken Sie die Schaltfläche Bild invertieren in der Viewersymbolleiste, um die Polarität des Bildes umzuschalten. Um zum Original zurückzukehren, drücken Sie die Schaltfläche erneut.
An Bildschirm anpassen¶
Größe und Maßstab eines Bildes anpassen, um den gesamten Viewer-Bereich auszufüllen, indem Sie die Schaltfläche An Bildschirm anpassen in der Viewersymbolleiste verwenden. Standardmäßig werden alle Bilder im VisioVIEW Viewer so geöffnet, dass sie den gesamten Viewer-Bereich ausfüllen. Ändern Sie die Standardeinstellung in den Einstellungen für Modalität und Hersteller.
Volle Vergrößerung¶
Passen Sie die Größe des Bildes auf seine Originalgröße an, unabhängig vom Viewer-Bereich, indem Sie die Schaltfläche Volle Vergrößerung in der Viewersymbolleiste drücken. Legen Sie dies als Standardoption beim Öffnen von Bildern in den Einstellungen für Modalität und Hersteller fest.
Drehen und Spiegeln¶
Um ein Bild vertikal oder horizontal zu drehen oder zu spiegeln, klicken Sie auf die Schaltfläche Bild drehen in der oberen Symbolleiste, um das Rotationspanel zu öffnen, in dem alle Aktionen verfügbar sind.
Ändern Sie die Drehung des aktiven Bildes manuell, indem Sie das Drehwahlrad nach links (negative Richtung) oder rechts (positive Richtung) ziehen. Der aktuelle Drehwinkel wird unter dem Wahlrad angezeigt.
Drehen Sie das Bild um +90° oder -90°, indem Sie die entsprechenden Schaltflächen drücken. Setzen Sie die Drehung des Bildes zurück, indem Sie die Schaltfläche 0° drücken.
Bildtransformationen zurücksetzen¶
Messungen und Untertitel ein-/ausblenden¶
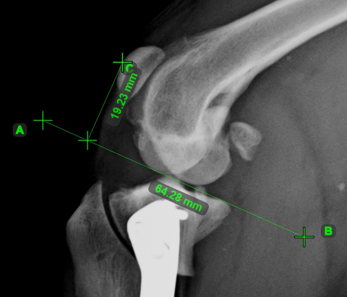
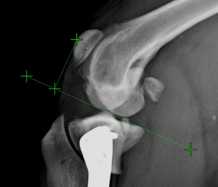
Die Messungen sowie deren Beschreibungen und Untertitel können über die Schaltfläche Messungen und Untertitel ein-/ausblenden in der Viewersymbolleiste ausgeblendet werden. Je nach aktivem Zustand der Messungen wird die Schaltfläche entsprechend aktualisiert. Die Schaltfläche zeigt stets den aktuellen aktiven Zustand der Messungen an.
Ändern Sie diese Einstellung für jede Messung einzeln über die Messungsliste.
Alle Messungen sind weiterhin im Viewer-Bereich sichtbar, jedoch sind deren Beschreibungen und Untertitel ausgeblendet.
Zusätzlich kann die Sichtbarkeit der Messungen im Viewer-Bereich über die Option Menü -> Messungen anzeigen im Viewermenü umgeschaltet werden.
Messungsliste¶
Die Messungsliste ist ein eigenständiges Fenster, das alle im aktuell aktiven Viewport gezeichneten Messungen anzeigt. Drücken Sie die Schaltfläche Messungsliste in der Viewersymbolleiste, um das Fenster zu öffnen. Das Fenster wird automatisch geschlossen, wenn der Viewer geschlossen wird. Benutzer können weiterhin im VisioVIEW Viewer arbeiten, auch wenn die Liste im Hintergrund geöffnet ist.
Jede Messung in der Liste wird als separate Zeile angezeigt und zeigt die Farbe der Messung, die Beschreibung, das Ergebnis und den Wert an. Um die Sichtbarkeit der Messungen sowie deren Beschreibungen und Untertitel einzeln zu ändern, drücken Sie das Symbol rechts neben jedem Messeintrag. Die Aktionen der Schaltfläche entsprechen der globalen Option.
Erweiterte Messungen werden aus den verfügbaren einfachen Messungen erstellt und entsprechend in der Messungsliste gruppiert. Benutzer haben die Möglichkeit, die gruppierten Messungen, die Teil jeder erweiterten Messung sind, durch Drücken des Pfeilsymbols neben dem Eintrag der erweiterten Messung zu erweitern oder zu reduzieren. Zusätzlich können alle Aktionen, die an einzelnen einfachen Messungen durchgeführt werden können, auch auf die gesamte Gruppe erweiterter Messungen angewendet werden.
Wählen Sie Messungen aus der Liste aus, indem Sie auf die entsprechende Zeile klicken. Schalten Sie die Auswahl einer Messung um, indem Sie die CTRL-Taste gedrückt halten und auf den Messeintrag klicken.
Sperren Sie eine Messung, indem Sie sie in der Liste auswählen und die Schaltfläche
Ausgewählte sperrenam unteren Rand des Fensters drücken. Das Sperren von Messungen verhindert, dass sie geändert werden.Löschen Sie ausgewählte Messungen, indem Sie die Schaltfläche
Ausgewählte löschenam unteren Rand des Fensters drücken.Löschen Sie alle Messungen aus dem Viewer-Bereich, indem Sie die Schaltfläche
Alle löschenam unteren Rand des Fensters drücken.
Linienstärke der Messung und Labelgröße¶
Drücken Sie die Schaltfläche Linienstärke der Messung und Labelgröße in der Viewersymbolleiste, um das entsprechende Panel zu öffnen. Das Aktualisieren der Linienstärke und Labelgröße der Messungen in der aktuellen Ansicht überschreibt die globalen Einstellungen.
Um eine bessere Sichtbarkeit und Lesbarkeit der Messungen im Viewer zu gewährleisten, ziehen Sie einfach den entsprechenden Schieberegler in die gewünschte Richtung, drücken Sie eine der verfügbaren Voreinstellungen oder geben Sie den Wert manuell in das Eingabefeld neben dem entsprechenden Parameter ein. Alle Messungen in der aktuellen Ansicht werden automatisch aktualisiert.
Eine gleichzeitige Aktualisierung der Parameter Linienstärke der Messung und Labelgröße der Messung ist möglich, indem Sie die Schaltfläche drücken, die die beiden Abschnitte verbindet.
Alle Messungen löschen¶
Entfernen Sie alle Messungen aus dem Bild in der aktuellen Ansicht, indem Sie die Schaltfläche Alle Messungen löschen in der Viewersymbolleiste drücken. Drücken Sie Ja, wenn Sie zur Bestätigung der Aktion aufgefordert werden.
Achtung
Diese Aktion kann nicht rückgängig gemacht werden. Wählen Sie sorgfältig, wann Sie sie ausführen, oder löschen Sie nur eine ausgewählte Anzahl von Messungen über die Messungsliste.
Hanging Protokoll umschalten¶
Drücken Sie die Schaltfläche Hanging Protokoll umschalten, um das geöffnete Hanging Protokoll im VisioVIEW Viewer ein- oder auszuschalten. Die Schaltfläche ist nur verfügbar, wenn der Viewer ursprünglich mit einem Hanging Protokoll geöffnet wurde oder wenn ein Hanging Protokoll aus dem Hanging Protokoll Fenster ausgewählt wurde.
Wenn das Hanging Protokoll deaktiviert ist, wird das Viewer-Raster auf die Anzeige eines einzelnen Bildes zurückgesetzt. Benutzer können eigene Rasterlayouts erstellen oder das Hanging Protokoll einfach wieder aktivieren, um ihr gewünschtes Raster anzuwenden.
Hanging Protokoll Fenster öffnen¶
Einstellungen-Symbol neben dem Auswahlmenü öffnen. Drücken Sie Ok, um das Fenster zu schließen.
Gespeichertes Layout überschreiben: Überschreibt das Layout und die Rasterregeln für das ausgewählte Hanging Protokoll. Die Schaltfläche wird aktiviert, wenn Benutzer die Größe der Zellen im Viewer-Raster manuell ändern oder die Anzahl der Zeilen oder Spalten im Viewer-Raster über das Viewer-Menü ändern.
Instanzregeln zuweisen: DICOM-Bilder können in jede Zelle des Viewer-Rasters platziert werden, sobald der VisioVIEW Viewer über den Viewer Bildstapel geöffnet wurde oder indem sie aus dem Serienpanel geöffnet werden. Wenn ein Hanging Protokoll im Viewer aktiv ist, können Bilder, die im Raster platziert werden, ohne die Kriterien der Hanging Protokoll-Instanzregeln zu erfüllen, den Instanzregeln der spezifischen Zelle basierend auf dem ausgewählten Hanging Protokoll zugewiesen werden. Nach der Zuweisung überschreiben diese Instanzregeln die spezifi
Änderungen zurücksetzen: Setzt alle nicht gespeicherten Änderungen am Layout und den Rasterregeln des ausgewählten Hanging Protokolls zurück (aktualisiertes Viewer-Raster, angepasste Zellgrößen und/oder neu angeordnete oder geänderte Bilder).
Viewer-Bildstapel öffnen¶
Der VisioVIEW Viewer bietet Benutzern die Möglichkeit, mehrere Einzelbildbilder in einer Zelle zu stapeln. Diese Funktion ist auch Teil der Hanging Protokolle, wenn mehrere Bilder dieselben Instanzregeln für eine bestimmte Viewer-Zelle teilen. Um die aktuellen Bildstapel jeder Zelle zu öffnen, drücken Sie die Schaltfläche Viewer Bildstapel öffnen in der Symbolleiste des Viewers.
Benutzer können Bilder aus dem Serienpanel direkt in einen geöffneten Bildstapel ziehen und ablegen oder Bilder von einem Stapel in einen anderen verschieben. Die Bilder im Viewer-Stapel werden immer nach den DICOM-Tags für Seriendatum und -uhrzeit sortiert. Die Seriennummer jeder Serie wird in der oberen linken Ecke der Vorschau angezeigt, die die Serie darstellt.
Das direkte Ablegen eines Bildes in die Zelle verwirft den gesamten Stapel vollständig. Entfernen Sie einzelne Bilder aus dem Stapel, indem Sie die Schaltfläche x in der oberen rechten Ecke jedes Bildes drücken.
Weitere Informationen dazu, wie der Viewer-Bildstapel mit dem Viewer-Serienpanel verbunden ist, finden Sie im folgenden Abschnitt.
Regeln zurücksetzen¶
Setzt alle nicht gespeicherten Änderungen am Layout und den Rasterregeln des ausgewählten Hanging Protokolls zurück (aktualisiertes Viewer-Raster, angepasste Zellgrößen und/oder neu angeordnete oder geänderte Bilder). Darüber hinaus setzt die Verwendung dieses Werkzeugs alle lokal zugewiesenen Instanzregeln für alle geöffneten DICOM-Bilder im Viewer zurück.
Bildschirmaufnahme¶
Der VisioVIEW Viewer bietet Benutzern die Möglichkeit, Screenshots der geöffneten Bilder mit dem Werkzeug Bildschirmaufnahme aus der Viewersymbolleiste zu erstellen. Drücken und halten Sie die Schaltfläche in der Symbolleiste, um das vollständige Bildschirmaufnahme-Menü zu öffnen.
Es stehen drei Optionen zur Verfügung, um Screenshots aus dem Viewer zu erstellen. Bild kopieren kopiert das Bild im aktiven Viewport des Viewers, Szene kopieren erstellt einen Screenshot der gesamten Szene im Viewer, während die Option Freie Auswahl es Benutzern ermöglicht, einen Bereich auszuwählen, der erfasst werden soll.
Alle Optionen können auch über die angegebenen Tastenkombinationen im Menü aktiviert werden. Die Screenshots werden automatisch in der Zwischenablage gespeichert.














