TTA-Messung¶
TTA (Tibial Tuberosity Advancement) ist ein chirurgisches Verfahren, das darauf abzielt, das Kniegelenk zu stabilisieren, indem die Geometrie der Tibiatuberositas verändert wird, an der das Patellasehnenband befestigt ist. Wählen Sie die TTA-Messung aus dem Erweiterten Messmenü und weisen Sie ihr die linke Maustaste zu.
Die TTA-Messung berechnet den Abstand, um den die Tibiatuberositas während der Operation vorgeschoben werden muss, und wird verwendet, um die korrekte Neupositionierung und Spannung der Patellasehne sicherzustellen und die Gelenkinstabilität zu neutralisieren. Der TPA-Winkel ist erforderlich, um die TTA-Messung korrekt zu berechnen.
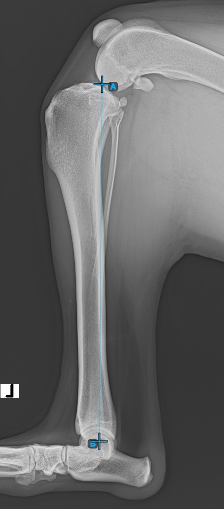
Starten Sie die Messung, indem Sie die Eminentia Intercondylaris markieren, die sich am Gelenk zwischen Femur und Tibia befindet.
Das Bild unten zeigt die übliche Platzierung des Punkts Eminentia Intercondylaris.
Fahren Sie fort, indem Sie den Mittelpunkts der Cochlea markieren, der sich am Ende des Tibiaknochens befindet. Die Linie zwischen der Eminentia Intercondylaris und dem Mittelpunkts der Cochlea stellt die Längsachse der Tibia dar.
Das Bild unten zeigt die übliche Platzierung des Mittelpunkts der Cochlea.
Sobald die Längsachse der Tibia bestimmt wurde, markieren Sie den vordersten Punkt des Tibiakopfes (Tibiaplateau).
Das Bild unten zeigt die übliche Platzierung des vordersten Punkts am Tibiaplateau.
Vervollständigen Sie den TPA-Winkel, indem Sie den hintersten Punkt des Tibiakopfes (Tibiaplateau) markieren. Der TPA-Winkel wird automatisch als der Winkel zwischen der Linie, die die beiden Punkte am Tibiaplateau verbindet, und der senkrechten Linie zur Längsachse der Tibia berechnet.
Das Bild unten zeigt die übliche Platzierung des hintersten Punkts am Tibiaplateau und die automatisch berechnete TPA-Winkel-Messung.
Starten Sie das TTA-Messverfahren, indem Sie den vordersten Punkt der Patella markieren.
Das Bild unten zeigt die übliche Platzierung des vordersten Punkts der Patella.
Um das TTA-Messverfahren abzuschließen, markieren Sie den hintersten Punkt der Crista Tibiae (Tuberositas Tibiae). Der Abstand zwischen der Tuberositas Tibiae und der Linie, die durch den vordersten Punkt der Patella verläuft, ist die erforderliche Anpassung für das TTA-Verfahren.
Das Bild unten zeigt die übliche Platzierung der Tibiatuberositas, des markantesten Punkts des Tibiakamms.
Ändern Sie die Punkte, die die Messung konstruieren, um den erforderlichen Vorschub für das TTA-Verfahren neu zu berechnen.





