TPA szög/TPLO¶
A TPA szög (Tibial Plateau Angle) az állatorvosi ortopédiai mérések egyik legfontosabbja, amely a tibia hosszanti tengelyéhez viszonyítva méri a tibia plató lejtését. Válassza ki a TPA szög mérést a Komplex mérőeszközök menüjéből, és rendelje hozzá a bal egérgombot.
A TPA szög mérés kulcsfontosságú része a korrigáló műtétek, például a TPLO (Tibial Plateau Leveling Osteotomy) tervezésének. Bővítse a TPA szög mérést TPLO-val az egyszerű megjelenítő beállításaiban.
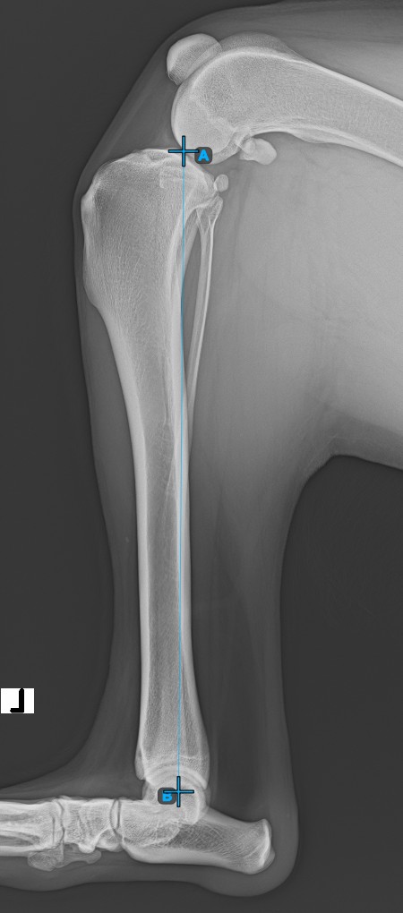
Kezdje el a mérést az Eminentia Intercondylaris megjelölésével, amely a combcsontot és a tibia csontot összekötő ízületnél található.
A lenti kép az Eminentia Intercondylaris pont szokásos elhelyezkedését ábrázolja.
Folytassa a mérést a Cochlea középpontjának megjelölésével, amely a tibia csont végén található. Az Eminentia Intercondylaris és a Cochlea középpontja közötti vonal a tibia hosszanti tengelyét reprezentálja.
A lenti kép a Cochlea középpontjának szokásos elhelyezkedését ábrázolja.
Miután azonosította a tibia hosszanti tengelyét, jelölje meg a tibia fejének (tibia plató) legfelső pontját.
A lenti kép a tibia plató legfelső pontjának szokásos elhelyezkedését ábrázolja.
Fejezze be a TPA szög mérését a tibia fejének (tibia plató) legalacsonyabb pontjának megjelölésével. A TPA szög automatikusan kiszámításra kerül a tibia platón lévő két pontot összekötő vonal és a tibia hosszanti tengelyére merőleges vonal közötti szögként.
A lenti kép a tibia plató legalacsonyabb pontjának szokásos elhelyezkedését és a TPA szög automatikusan kiszámított értékét ábrázolja.
Ha a TPLO kiterjesztés engedélyezve van a TPA szög méréséhez, válassza ki az elérhető lehetőségek egyikét a komplex mérésmód eszköztárából a mérés folytatásához/befejezéséhez. Ellenkező esetben a TPA szög mérés automatikusan befejeződik.
Nyomja meg a
Befejezésgombot a TPA szög mérésének megerősítéséhez és befejezéséhez TPLO kiterjesztés nélkül.Aktiválja a TPLO kiterjesztést a
TPA TPLO-val történő kiterjesztésegomb használatával.A TPA szög mérés elrejtéséhez vagy megjelenítéséhez a TPLO kiterjesztés során jelölje be vagy törölje a jelölést a
TPA mérés elrejtésejelölőnégyzetben.![]()
Kezdje el a TPLO kiterjesztést a tibialis taraj megjelölésével. A TPLO kiterjesztéshez szükséges fűrészlap méretét automatikusan kiszámítja a rendszer az Eminentia Intercondylaris és a tibia fejének legalacsonyabb pontja és a tibialis taraj közötti vonal két harmadánál elhelyezkedő pont távolsága alapján.
A lenti kép a tibia fején a tibialis taraj pont szokásos elhelyezkedését ábrázolja.
A TPLO kiterjesztés befejezése előtt a felhasználók módosíthatják a mérés paramétereit, amelyek a beavatkozás forgatási távolságának kiszámításához szükségesek a haladó mérésmód eszköztárában.
Rögzítse a TPA szög számítását a
Fixjelölőnégyzet bekapcsolásával. Ellenkező esetben a TPA szög bármilyen módosítása a forgatási távolság számításában is érvényre jut.Adja meg a TPLO eljárás kívánt TPA szögét a
Kívánt TPA (°)beviteli mezőben.A fűrészlap méretének újraszámításához adja meg a kívánt értéket a
Fűrészlap méretebeviteli mezőben.![]()
Nyomja meg a Forgatási távolság számítása gombot a TPLO eljáráshoz szükséges számítások elvégzéséhez. A számított forgatási távolság megjelenik a komplex mérésmód eszköztárában.
A TPLO kiterjesztéssel végzett TPA szög mérés aktív marad, amíg a felhasználó meg nem nyomja a Befejezés gombot a haladó mérésmód eszköztárának jobb sarkában.
Módosítsa a pontok helyzetét a TPA szög mérésének újraszámításához. A TPLO eljárás forgatási távolságának újraszámításához kattintson duplán a teljes mérés felületére, és nyissa meg a haladó mérésmód eszköztárát a szükséges paraméterek módosításához.




